| ДАЙДЖЕСТ: |

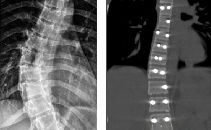
В отделении нейрохирургии №2 краевой больницы на регулярной основе проводятся современные хирургические вмешательства по коррекции деформаций позвоночника. Ранее подобные операции были доступны преимущественно в федеральных медицинских центрах. Об этом рассказали в пресс-службе учреждения.
На этот раз медицинская помощь потребовалась 14-летней пациентке, страдающей идиопатическим сколиозом. У нее было диагностировано искривление позвоночника под углом в 40 градусов. Такая деформация со временем могла негативно сказаться на функционировании сердца и легких. Медики приняли решение о проведении операции с целью остановить прогрессирование заболевания и вернуть позвоночнику правильное положение.
В ходе оперативного вмешательства девочке была установлена прочная металлическая конструкция, обеспечивающая фиксацию позвоночника в выпрямленном положении. После операции пациентка быстро восстановилась и была выписана из больницы.
Реабилитационный период включает в себя регулярные медицинские осмотры и соблюдение врачебных рекомендаций, что позволит ей в кратчайшие сроки вернуться к привычному образу жизни. Ранее сообщалось, что хирурги Ставрополя извлекли из кишечника трехлетнего мальчика 18 магнитов.
![]() |
ЧЕЧНЯ. Фонд имени Ахмата-Хаджи Кадырова оказал масштабную поддержку нуждающимся семьям Чечни
ЧЕЧНЯ. Единая Россия» запустила масштабную акцию поддержки населения в Чеченской Республике.
ЧЕЧНЯ. «Жить — значит бороться»: в Грозном прошла профилактическая акция против онкологии
АРМЕНИЯ. Армения не намерена действовать против России – Симонян
ЧЕЧНЯ. Министр образования Чечни разъяснил правила организации семейного обучения и самообразования
ЧЕЧНЯ. Делимханов прокомментировал резкие высказывания немецкого политика в адрес Зеленского
Президент России предостерёг от бездумного применения антибиотиков
ЧЕЧНЯ. Культура Чечни: новые горизонты сотрудничества с Минкультуры России
АРМЕНИЯ. Копыркин усомнился в возможности ЕС гарантировать развитие экономики Армении
КАЛМЫКИЯ. Топливная компания в Калмыкии погасила 6-миллионный долг перед работниками и кредиторами