
Человек жаловался на головную боль, судороги, проблемы с обонянием и памятью.
Ученые обнаружили в мозге пациента редкого ленточного червя. Вместо того чтобы навсегда избавиться от паразита, они решили секвенировать его геном.
Ленточные черви являются опасными паразитами. Очень часто они паразитируют в кишечнике человека. Их нахождение там вызывает инфекционный процесс под названием спарганоз. Типичными симптомами начала заболевания являются слабость, потеря веса и боли в животе. Но это не самое страшное: личинки некоторых видов плоских червей могут проникать в глаза, головной и спинной мозг.
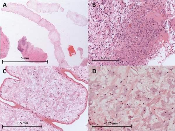
Один из таких червей пробрался в мозг 50-летнего китайца, проживающего в Британии. Человек жаловался на головную боль, судороги, проблемы с обонянием и памятью. Врачи не могли найти причину недуга, пока не сделали пациенту МРТ. Магнитно-резонансная томография показала воспаленный участок в мозге, который таинственным образом перемещался с одного полушария в другое. За последние четыре года он сдвинулся как минимум на пять сантиметров. В итоге биопсия показала наличие в мозге пациента сантиметрового ленточного червя.

После операции по извлечению червя из мозга специалисты геномного исследовательского центра Институт Сенгера в Кембриджшире (Великобритания) определили его название – Spirometra erinaceieuropaei. Секвенирование генома показало наличие у него 1,26 миллиарда пар оснований, что намного больше, чем у любого другого известного науке плоского червя. Его геном составил примерно треть от размера генома человека.
Spirometra erinaceieuropaei – это редкий вид ленточного червя, который обычно встречается в Китае, Южной Корее, Японии и Таиланде. Как правило, в организм здорового человека этот паразит попадает вместе с зараженной водой и пищей (недоваренное мясо лягушек и змей). По словам ученых, экспансия генов помогает червю проникать в организмы различных животных.
Источник: Hi-Tech News
По материалам hronika.info
checheninfo.ru